Diş çekiminden sonra kök kalması ne anlama gelir?
Diş çekiminden sonra kök kalması, tedavi sürecinde dikkat edilmesi gereken önemli bir durumdur. Bu makalede, kök kalmasının sebepleri, olası sonuçları ve tedavi yöntemleri detaylı bir şekilde ele alınmıştır. Diş sağlığı açısından uzman bir hekime danışmanın önemi vurgulanmaktadır.
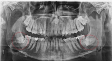
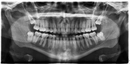
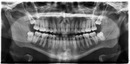
Diş Çekiminden Sonra Kök Kalması Ne Anlama Gelir?Diş çekimi, diş hekimliğinde sıkça başvurulan bir tedavi yöntemidir. Dişin tamamen çıkarılması gerektiğinde, genellikle dişin kök kısmı da dahil olmak üzere dişin tüm bileşenleri çekilir. Ancak bazı durumlarda, dişin kök kısmı çene kemiğinde kalabilir. Bu durum, çeşitli sebeplerle ortaya çıkabilir ve genellikle komplikasyonlar doğurabilir. Bu makalede, diş çekiminden sonra kök kalmasının anlamı, sebepleri, sonuçları ve tedavi yöntemleri detaylı bir şekilde ele alınacaktır. Kök Kalmasının SebepleriDiş çekiminden sonra kök kalmasının birkaç nedeni vardır:
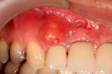
Kök Kalmasının SonuçlarıDiş çekiminden sonra kök kalması, bazı olumsuz sonuçlara yol açabilir:
Tedavi YöntemleriDiş çekiminden sonra kalan kökün tedavisi için çeşitli yöntemler bulunmaktadır:
SonuçDiş çekiminden sonra kök kalması, genellikle istenmeyen bir durumdur ve çeşitli komplikasyonlara yol açabilir. Bu nedenle, diş çekimi sürecinde dikkatli olunmalı ve diş hekimi ile düzenli iletişim sağlanmalıdır. Kalan köklerin tedavisi, hastanın sağlığını korumak ve ağız sağlığını iyileştirmek açısından önemlidir. Diş sağlığına dair her türlü durumda uzman bir diş hekimine danışmak, sağlık açısından en doğru yaklaşım olacaktır. Ekstra Bilgiler1. Kök kalması, diş çekimi sonrası komplikasyonların önlenmesi için gereken önlemler alınmadığında daha sık görülebilir. 2. Diş çekimi sonrası iyileşme süreci, tedavi sürecinin ne kadar düzgün yönetildiğine bağlıdır. 3. Kök kalmasının önlenmesi için diş hekimleri, dişin durumunu dikkatlice değerlendirir ve çekim öncesinde gerekli önlemleri alır. |





.webp)










.webp)










.webp)

.webp)

















Diş çekiminden sonra kök kalmasının bu kadar yaygın bir sorun olduğunu duymak gerçekten endişe verici. Acaba bu durumun önlenmesi için daha fazla önlem alınabilir mi? Diş hekimleri, kök kalma ihtimalini azaltmak için ne gibi stratejiler uyguluyorlar? Ayrıca, kök kalması durumunda tedavi sürecinin ne kadar karmaşık olduğunu düşünüyorsunuz? Bu durumun hastalar üzerinde yarattığı psikolojik etkiler hakkında da bir şeyler söyleyebilir misiniz?
Rüçhan Bey, diş çekimi sonrası kök kalması konusundaki endişelerinizi anlıyorum. Bu durumun önlenmesi ve yönetimi hakkında şunları söyleyebilirim:
Önleme Stratejileri
Diş hekimleri kök kalma riskini azaltmak için öncelikle detaylı radyografik incelemeler (panoramik röntgen, 3D tomografi) yaparak diş ve kök yapısını değerlendirir. Özellikle kırılgan, çürük veya şekli bozuk dişlerde dikkatli cerrahi teknikler uygularlar. Deneyimli hekimler, minimal travma prensibiyle çalışarak dişi bütün halinde çıkarmaya özen gösterirler.
Kök Kalması Durumunda Tedavi
Kök kaldığında tedavi kompleksite seviyesi; kökün boyutu, konumu, enfeksyon varlığı ve hastanın genel sağlık durumuna göre değişir. Küçük, asemptomatik kökler bazen takip edilebilirken, çoğunlukla cerrahi müdahale gerekir. Bu işlem normal çekimden daha detaylı olup lokal anestezi altında diş eti kesisi ve kemikte küçük bir pencere açılmasını içerebilir.
Psikolojik Etkiler
Hastalar için bu durum genellikle hayal kırıklığı, endişe ve güven kaybı yaratabilir. Ek tedavi gerekliliği, maliyet artışı ve iyileşme süresinin uzaması psikolojik stresi artırabilir. Açık iletişim, deneyimli hekim seçimi ve gerçekçi beklenti oluşturma bu etkileri hafifletmede önemli rol oynar.
Unutmayın ki modern diş hekimliğinde bu tür komplikasyonların yönetimi için gelişmiş teknikler mevcuttur ve deneyimli hekimler bu durumları başarıyla tedavi edebilmektedir.